ブリッジ
1~2本、少数の歯を失った時、その抜けてしまったところは両隣の歯を削って、ダミーを介して、冠をかぶせることによって、つなぎます。取り外しの必要がない、かぶせ物です。
【ブリッジの利点】
- 入れ歯と比較して、違和感が少ないです。
【ブリッジの欠点】
- 両隣が虫歯のない健康な歯であった場合も、冠が入る分だけ削らなくてはなりません。
- 失った歯が本来受けるかもしれない力を、両隣の歯で負担する必要があります。
- つながっているので清掃がしづらいです。
※失った歯の本数によって費用は変わります。
義歯(入れ歯)
【義歯の利点】
- 健康な歯をほとんど削らなくてすみます。(金具がかかるところを少し削る必要はあります)
【義歯の欠点】
- 違和感が比較的大きいです。
- 金属のバネが見えるため、見た目にはよくありません。
- バネがかかる歯に大きな負担がかかります。
- 噛む力が弱く、硬いものが食べにくい場合もあります。
保険義歯と自費義歯
更に入れ歯は、保険入れ歯と自費入れ歯に分かれます。それぞれのメリット・デメリットをご紹介します。
費用面と機能性の折り合いを考え、最適なものをご選択ください。
| 保険入れ歯 | 自費入れ歯 | |
|---|---|---|
| メリット |
|
|
| デメリット |
|
|
様々な種類がある入れ歯の中で、当院が取り扱うものをご紹介します。
金属床義歯
上顎の床部分が金属でできた入れ歯。金属のため熱を感じやすく、また床部分を薄く作ることができるため、食事をより美味しくとることができます。当院では金属部分を、ゴールド、チタン、コバルトにて対応します。
ノンクラスプデンチャー
従来不可欠だった、固定用のバネをなくした部分入れ歯。薄くて軽い材質を使っているためお口の中がすっきりする上に、バネによる違和感がありません。また見た目も非常に自然で、金属アレルギーの心配もいらない優れものです。
コーヌスデンチャー
筒状のクラウンと入れ歯が一体化した二重構造の入れ歯。残った歯に二重のクラウンを被せることでフィット感が非常に高くなります。また咬む力が歯全体に均等に分配され、摩擦の力で抜けにくくなっているのも特徴です。
インプラント
【インプラントの特長】
- 両隣在歯を削らずにすみます。
【インプラントとブリッジ・入れ歯の違い)】
- ブリッジ
-
問題点- 隣の健康な歯を削り、悪化させる可能性があります。
- 支える歯の負担が大きくなります。
- 支える歯が2本以上必要です。
- 部分入れ歯
-
問題点- 入れ歯の留め金によって、歯などに痛みを感じる場合があります。
- 異物感、違和感があります。
- 審美性に欠けます。
- 粘りのある食べ物や硬い食べ物に苦労します。
- インプラント治療
-
改善されます。
- 歯のない部分に、インプラントを入れるため、健康な歯を削ることはありません。
- 自然な感覚で、噛めるようになり、顎の骨の健康を維持することができます。
- 自分の歯に近い感覚で、食事が楽しめます。
- インプラント治療
-
改善されます。
- 留め金を必要としないために、口の中がスッキリし、審美的にも良好です。
- 治療から2カ月で、自分の歯に近い感覚で、噛むことができます。
- 粘りのある食べ物や硬い食べ物に関係なく、食事を楽しむことができます。
■インプラント手術手順(2回法の場合)

- 歯ぐきを開き、骨の中に人工歯根部を埋め込みます。

- 人工歯根部に力をかけず、骨としっかり結合するのを待ちます。

- 人工歯根部が骨と結合したら、人工歯を取り付けるための部品を連結し、歯ぐきから露出させます。

- 歯の形や色などを決めて補綴物が完成したら、アバットメントに装着し固定します。
骨が吸収してしまって通常はインプラントの植立が難しい症例の場合も、当院では骨移植(自家骨、人工骨)を行うことで植立を可能にすることができます。
※症例によっては適用できない場合もございます。お気軽にご相談ください。
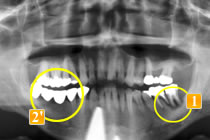
56歳男性
インプラント治療の必要性を自覚して他の歯科医院より依頼されたケースです。
初診時、左下一番奥の歯(レントゲンでは右下
)は骨が吸収してしまっています。
この状態で手前の歯と連結して長期間経過したため、より骨が無くなってしまいました。
骨が少なすぎてインプラントを打つ厚みがありません。この時点では手術はできませんと説明しました。

この歯を抜歯した際に骨移植を行いました。あまりに骨が少なかったのでインプラントを打てる厚みまで回復するのに2年の経過観察をしました。

-
先に右で噛めるようにインプラントにて治療を行い、
骨移植し骨ができたところでインプラント植立を行いました。右下奥のブリッジ(レントゲンでは
)は、ブリッジが長かったためか、親知らずが溶けてしまっています。負担の大きい手前の2本の小臼歯も揺れていました。
手術した結果、インプラントで噛むことができて、手前の歯の骨が安定しました。
このように、インプラントは他の歯を長持ちさせる為にも有効な方法です。
61歳男性
初診時、歯の根の先にかなり大きな膿の袋ができてしまっています(
)。
根が割れている、ひびが入っているという可能性も大いにありました。

-
は本来なら抜歯するケースですが、何とか残せないかと一度抜いて根の治療をし、再度植えました(
)。“再植術”といいます。
は最初の状態と同じ様にブリッジにすると負担が大きく、すぐダメになってしまう可能性が高いと判断し、同様に、この歯を何とか残すために歯のない部分はインプラントという治療法を選択しました。これならつながないでいいですし、インプラントでも噛む力が負担できるのでほかの歯を守れます。

-
歯がない部位(
)にはインプラントを植立しました。もし再度ブリッジにした場合
再植した歯への負担過重によって痛みが出れば、支えているもう一方の歯への負担も増します。
そうして負担が増加することで、右下奥歯は2本欠損することになったかもしれないのです。 しかし、この3本の歯をそれぞれ独立させることで、相互に保護しあう状態となり、結果、歯を残すことができました。
47歳男性
初診時、左下奥から3番目の歯(
)は、根に膿の袋ができており、歯が割れている可能性がありました。
この時点で抜歯の可能性が高いケースでした。

-
しかし
は何とか残したいということで“再植術”を行いました(
)。
(抜いて根の治療をした後に再度植えました。)
は初診時同様ブリッジとして使うには負担が大きすぎてすぐダメになってしまうと判断し、この歯を何とか残すために歯のない部分はインプラントという治療法を選択しました(
)。これならつながないでいいですし、インプラントでも噛む力が負担できるので他の歯を守れます。

-
さらに、
に関しても抜歯適応と思われましたが、何とか残すため“再植術”を行いました。
44歳男性
初診時、左下の奥歯が腫れて治療を繰り返している、全部白いもので治したい、とのことで来院されました。
左下の奥から2番目の歯(
)は、根の先に大きな膿の袋ができており、骨の吸収も著しいので残すのは難しいと判断しました。他の歯科医院では、抜いて、前後6本つながったブリッジか入れ歯になると説明を受けたとのことでした。

-
根の先に大きな膿の袋
歯がなく前後の2本で4本分を支えるブリッジの形になっています。
ブリッジだと残りの歯に負担がかかり、支えとなる歯がだめになってしまう可能性があり、入れ歯はご本人も気が進まない、また、バネをかけた歯にやはり大きな負担がかかることを考慮して、当院ではインプラントという選択にいたりました。
まず先に、前2本のインプラントを植えて噛みあわせを確立(
)。噛みあわせができたところで抜歯し、その後第一大臼歯へインプラント埋入しました(
)。骨の厚みが少ないので、傾斜させて埋入し、同時に骨移植も行いました。

-
1番奥の歯(レントゲンでは
)を利用してブリッジにしていたら、この歯はすぐに悪くなったことでしょう。
インプラントという選択を行ったことによって予後に不安があった歯を守ることができました。
ご予約・お問い合わせを承っております。お気軽にご連絡下さい。
高円寺にある歯医者、デンタルクリニック高円寺では様々な治療方法の利点欠点、あまりにも多すぎる情報、お悩みになっている症状の解決方法などにお答えするため、無料カウンセリングを実施しております。お気軽にご連絡下さい。
歯が欠けて困っている、痛みがあるなどの救急の場合は、当日のうちに応急処置をいたします。
その場合はお電話(03-3316-0027)でご連絡ください。



